Weil wir nicht nur Zahnersatz herstellen - wir schenken Ihnen Lebensqualität.
ÜBER UNS
LEISTUNGEN
Unser Dentallabor begleitet Sie und Ihre Patienten von der ersten Idee bis zum fertigen Zahnersatz. Mit modernsten Technologien und einem erfahrenen Team gewährleisten wir präzise Ergebnisse, die sowohl ästhetisch als auch funktional überzeugen.

Anfertigung von hauchdünnen Keramikschalen zur Korrektur von Zahnfehlstellungen und Verfärbungen, die mittels Adhäsivtechnik stabil am Zahn befestigt werden.

Verwendung von GC LiSi Press, einer Lithium-Disilikat-Glaskeramik, zur Herstellung langlebiger und ästhetischer Teilkronen mit natürlicher Opaleszenz und Transluzenz.

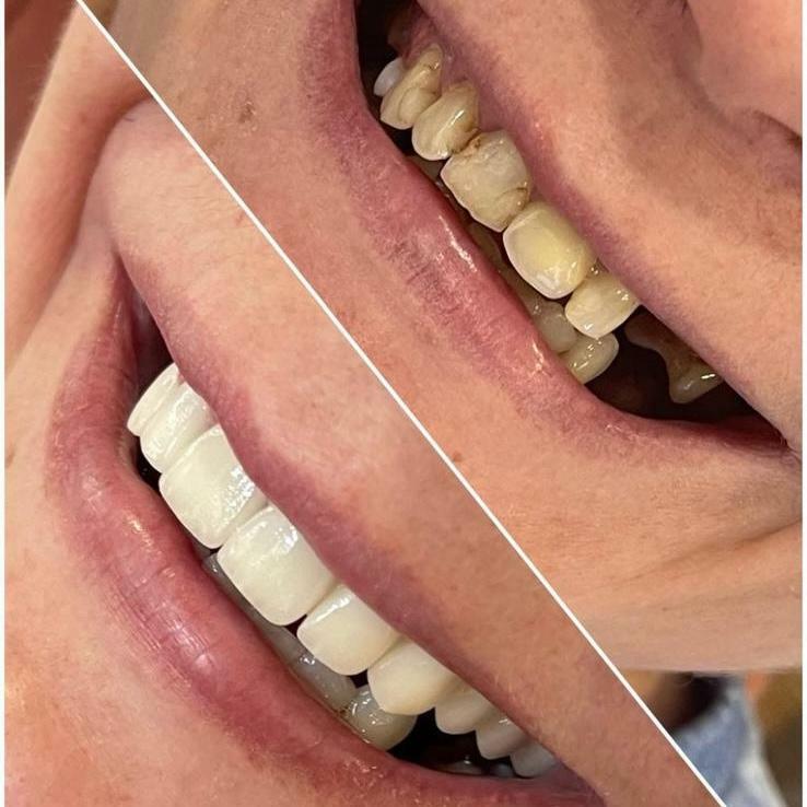
Erstellung von metallfreien, antiallergenen Zirkon-Vollkeramikkronen und -brücken auf Titan- oder Zirkonimplantaten, die kaum von natürlichen Zähnen zu unterscheiden sind.

Kombination von digitalem Design und traditioneller Handwerkskunst zur Produktion langlebiger und naturgetreuer Restaurationen mittels fünfachsiger Fräsmaschinen.

Anfertigung von Probeveneers aus Dental-Kunststoff basierend auf exakten Fotografien, um Patienten einen ersten Eindruck der ästhetischen Wirkung zu vermitteln und Anpassungen vorzunehmen.

Herstellung präzise angepasster Provisorien, die den Zeitraum bis zur endgültigen Restauration überbrücken und sich nicht wie eine Übergangslösung anfühlen.

Anpassung individueller Aufbissschienen zur Behandlung von Craniomandibulärer Dysfunktion (CMD), um Zähneknirschen zu verhindern, die Muskulatur zu entspannen und Schmerzen zu reduzieren.

Unsere maßgefertigten Schnarcherschienen helfen Ihren Patienten, ruhiger zu schlafen und Atemwegsprobleme zu reduzieren. Sie fördern eine freie Atmung, verringern Schnarchgeräusche und verbessern so die Schlafqualität – für einen erholsamen Schlaf und mehr Lebensqualität.
PARTNER-BEREICH